Dental Bonding Can Give You the Radiant Smile You Desire

Dental bonding is a an excellent choice for many of our patients who desire to cosmetically enhance their smiles. If your teeth have chips, cracks, discoloration, or other minor damage, Dr. Michael J. Appleton and Dr. Christopher Braud can use dental bonding at their Slidell, LA, office to conceal those imperfections. Our doctors are skilled in the art of cosmetic dentistry. They can work with you to determine your unique needs and cosmetic goals to create an aesthetic and natural-looking smile.

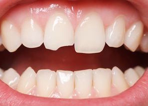
Before
After
Dental bonding is ideal for patients who are unhappy with their smiles due to minor cosmetic imperfections.

What Is Dental Bonding?

Dental bonding is a cosmetic procedure that uses composite resin to refine the length, shade, and shape of teeth, concealing cosmetic flaws. The procedure can achieve similar results to porcelain veneers, however, it can be a much more affordable option. Composite resin is a strong and durable tooth-colored material that is also used in tooth-colored fillings. Dr. Appleton and Dr. Braud can match this material to the shade of your surrounding teeth for a seamless look. They can also use this procedure to conceal minor orthodontic issues such as misalignment or gaps between teeth. Your end result can be an aesthetic, more symmetrical, and whiter smile, free from cosmetic flaws.

Ideal Candidates for Dental Bonding

Dental bonding is ideal for patients who are unhappy with their smiles due to minor cosmetic imperfections. Unlike with porcelain veneers, we do not remove any enamel for dental bonding. This conservative aspect makes dental bonding a great alternative for patients with sensitive teeth and little enamel. In general, candidates for this procedure must be in good oral health, without any decay, disease, or other complications. Dental bonding is also not recommended for smokers, as composite resin is susceptible to staining.

The Dental Bonding Process

Before undergoing any cosmetic procedure, you will meet with Dr. Appleton or Dr. Braud for your initial consultation. They will carefully examine your teeth and gums to ensure you are free of cavities, gum disease, and other complications. You will also discuss your cosmetic goals, budget, and lifestyle to determine if this treatment is right for you. 

With dental bonding, you can achieve a completely transformed smile during one convenient, non-invasive procedure.

The procedure can take a half hour to two hours, depending on the number of teeth that require bonding. Your doctor may being by applying a gentle, safe chemical solution to lightly etch the surface of your teeth before applying the bonding agent. This solution can improve the success of bonding by increasing the surface area of your teeth. Once the composite resin solution is mixed to a matching shade, Dr. Appleton or Dr. Braud will apply it in layers, shaping it as needed to improve your smile. A special curing light is then used to harden the material. Your doctor will confirm symmetry and alignment before lightly polishing the surface to create a more natural look. You can achieve a completely transformed smile during one convenient, non-invasive procedure.

Enhance Your Smile

The best way to find out if dental bonding is right for you is to contact our office and schedule your initial consultation with our doctors. They can discuss all of your goals for treatment and help you decide the best cosmetic treatment for your needs.

Oak Harbor Family Dentistry Logo

Oak Harbor Family Dentistry

Dr. Michael J. Appleton has practiced dentistry in Slidell, LA, for over 20 years. He works alongside Dr. Chrisopher Braud and an experienced team to offer general, cosmetic, and restorative services to patients of all ages. Dr. Appleton is proud to be affiliated with:

  • New Orleans Dental Association
  • American Dental Association
  • Lake Pontchartrain Study Club (a Seattle Study Club)
  • Louisiana Dental Association
  • Academy of General Dentistry
  • American Academy of Facial Esthetics

You can request an appointment for yourself or a family member by filling out our online form or calling (985) 649-9455.

Rate, Review & Explore

Social Accounts Sprite